Gestern 16 km und 31 Hindernis hinter mich gebracht, und heute Muskelkater an Stellen, die mir vorher gar nicht bekannt waren.
Die Pfeile funktionieren nicht. Für euch getestet ![]()
![]()
Unser Model ist 47 Jahre alt, 188 cm gross und trägt Grösse XL. Unser Model bleibt gerne anonym. Er freut sich, dass nach den scheiss Monaten ein bisschen was wieder da ist. Nach diesem Bild hat sein Rückentraining angefangen. Hätte er das Foto lieber danach gemacht, doch da war er damit beschäftigt, aus dem shirt zu kommen und über Slim Fit zu fluchen. Er möchte ein paar kg abnehmen, mag aber aktuell noch nicht damit starten.
Das oberhalb vom Nike Logo ist kein Pickel, das ist mein Port unter der Haut, worüber ich die Chemie erhalten habe (Schlüsselbeinvene bis zum Herz runter). Das fällt mal mehr - und mal weniger auf, doch ins öffentliche Bad will ich damit noch nicht
So stelle ich mir den älteren Andrich vor. ![]()
Halb Marathon. Halb vorbereitet.
Gut gekleidet ist halb gewonnen.
Den Effekt für maximale Verwirrung sorgen. Gut gebaut beim Marathon erscheinen, die ersten 100 Meter im Vollsprint loslegen, dann unauffällig verschwinden, Öv nehmen um dann kurz vor dem Ziel wieder da zu sein.

Erinnert mich an die Berichte über den 1904er Marathon in St. Louis ![]()
[…] In fact, only 14 men eventually completed the race: one after hitchhiking, one after taking a nap, and one—the eventual gold medalist—after drinking strychnine mixed with raw egg and brandy. […]
Mehr hier:
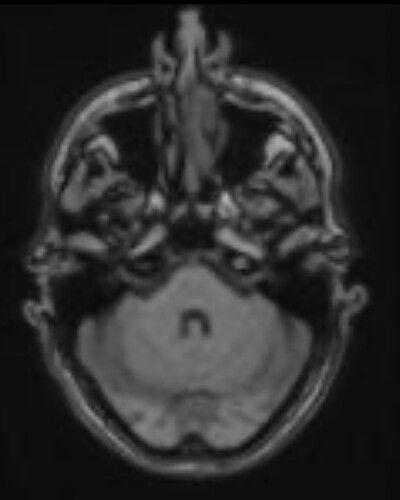
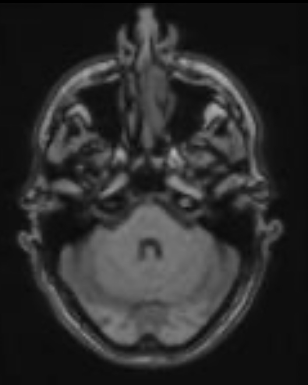
Zählt das auch? Meinem Schädel geht’s gut und da ist gem. Bericht nichts da, was nicht da sein soll.
Wenn man bei einem Schädel MRT scrollt, im richtigen Moment anhält und die Perspektive ändert, ja dann sieht man ein Gesicht, das faszinierend ist oder das einem Angst macht.
Und genau deswegen zeigt man werdenden Eltern normalerweise nicht das MRT-Gesicht ihrer Kinder, wenn es nicht zwingend notwendig ist. Denn das sieht leicht verstörend aus.
Ganz der Papa ![]()
![]()
das sieht schwer nach SL aus…
wag dich, ohne uns da hinzugehen! ![]()
Schaafswetter. Immer.
PS: Halbmarathon in 2:45:00. eeeeeasy
Sie sehen ein kamerascheues Subjekt mit einem sexy leg, das man sonst nur bei einem Alpaka sieht.
Auf dem Weg nach Hause von Runde Nr. 20. Völlig verrückt, in zwei Tagen kann ich die Bauchtasche wiede abgeben, die dann hoffentlich leer ist.
Stay strong










